Pulsar
Inteligência Artificial e tecnologia
integradas para uma nova era do
diagnóstico por imagem

O equipamento
A linha Pulsar de tomografia computadorizada redefine a tecnologia no diagnóstico por imagem ao combinar inteligência artificial e engenharia de precisão.
Mais conforto ao paciente e uma experiência clínica de excelência, estabelecendo um novo patamar na prática diagnóstica.







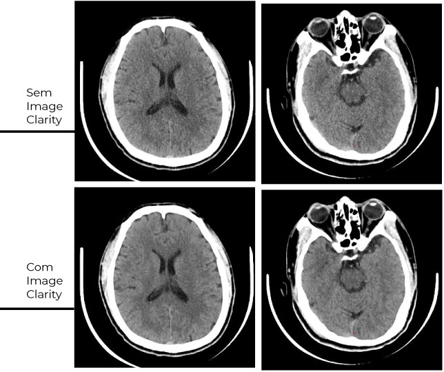
Redução de ruídos e artefatos
Imagens mais nítidas
Bolus Tracking com sincronização automática
Maior precisão na aquisição em exames contrastados
Ajuste automático de mAs em tempo real
Protocolos otimizados para diferentes qualidades de imagem
Maior performance em rotina clínica
Fluxo integrado entre aquisição/reconstrução e pós-processamento de imagens
Painel Touch Screen (One Dock)
Usabilidade e agilidade na operação em ambos os lados do Gantry
Software clínico intuitivo
Preparação rápida de exames com protocolos pré-configurados
Mesa com alta capacidade de carga e ampla faixa de varredura
Maior conforto e segurança para o paciente
24 Canais
32 Canais

32
Ampla abertura 70 cm
32 Canais
64 Canais

64 Canais
128 Canais
Alta performance para cenários que exigem máxima definição e produtividade. O Pulsar 128 une tecnologia avançada, velocidade de aquisição e excelência em imagem, com opções de abertura que ampliam o conforto e tornam o exame mais acessível a diferentes perfis de pacientes.

Ampla abertura 70 cm
As seguintes funções podem ser disponibilizadas ao técnico/enfermeiro na sala de exames:
Isso aumenta a eficiência e reduz possíveis erros operacionais (como erros no cadastro do paciente), contribuindo para maior satisfação do paciente

Detectores de
desenvolvimento próprio




Principais
funções clínicas

















